Timings : Monday - Saturday (11AM to 7PM)* on appointment

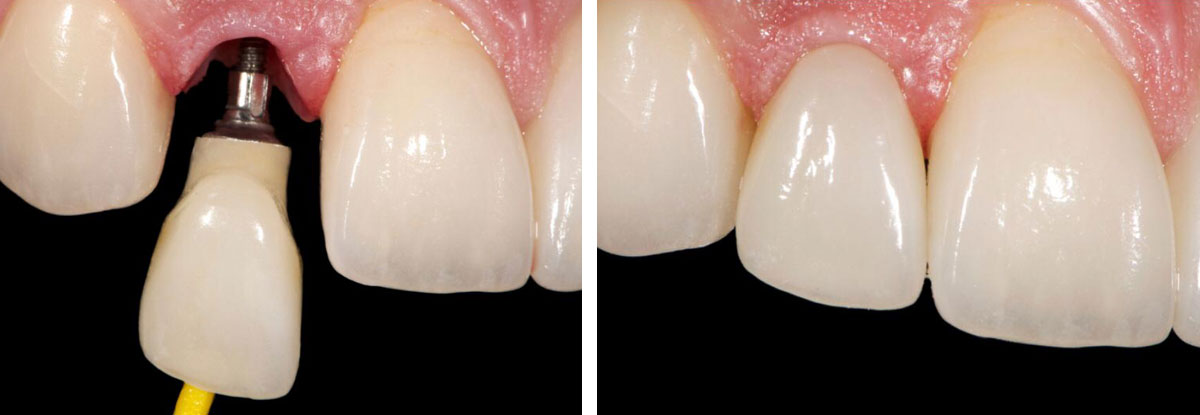
Dental Implants

Dental Implants

Q) What is the need to replace missing tooth?
A) There can be a variety of problems if missing teeth are not replaced - The teeth will shift to fill the gap created by missing teeth which will cause pain and problems in talking, chewing etc.

Q) How dental implants can help?
A) It is a biocompatible material(made of titanium) which fuses to bone. The new set of teeth look and feel totally natural. When an implant is placed, there is no need to grind the neighbouring teeth , as in case of dental bridge.

Q) Who are the candidates for dental implant?
A) Patients with healthy bone, gum.