Timings : Monday - Saturday (11AM to 7PM)* on appointment

Orthodontics

Orthodontics

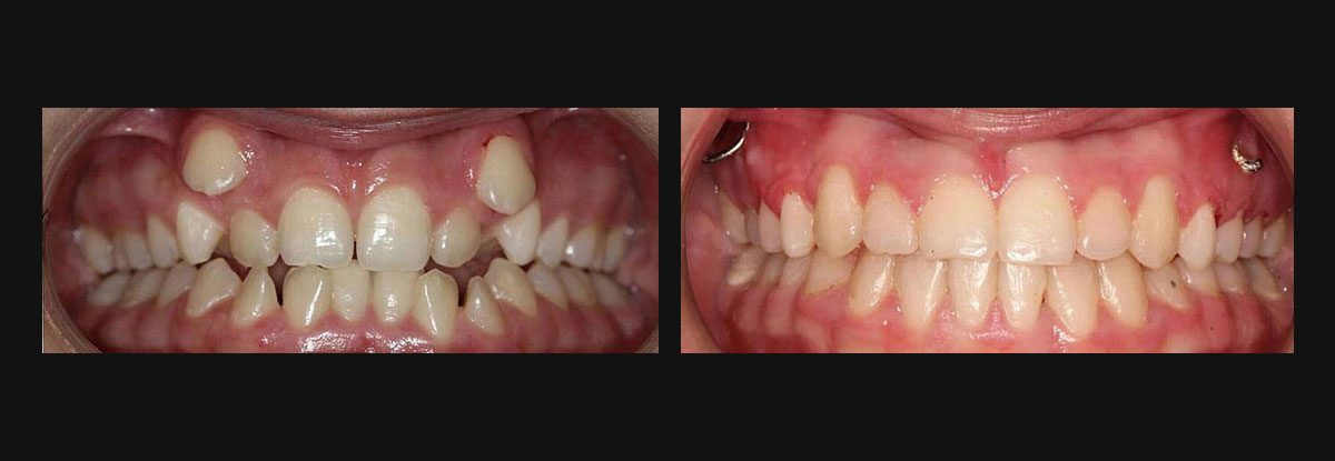
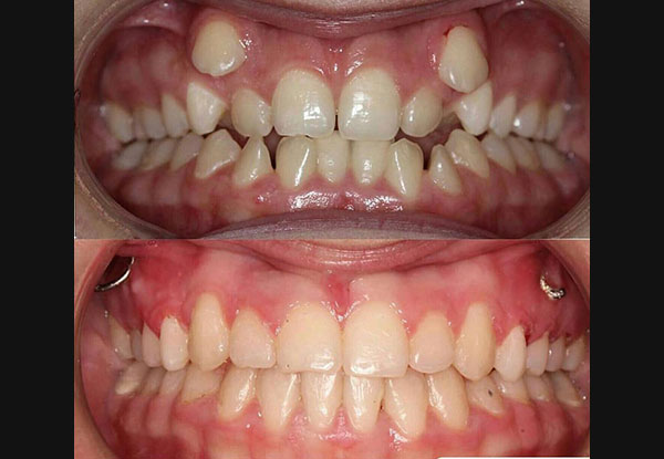
This is branch of dentistry that treats malaligned teeth (Teeth that are not correctly positioned in mouth).

If you have :

  • Gaps in your teeth :
  • Crowded Teeth :
  • If front teeth show more than the other teeth :

You are a candidate for orthodontic treatment.


Q) Who can undergo orthodontic treatment?
A) Both children and adults with age group from 8-50 years, provided a viable healthy bone is available.


TREATMENT OPTIONS :

  • Invisible Braces / Invisalign : It is a clear alternative to metal braces for adults and teens. These braces are virtually invisible way to improve your smile.

(Invisible Braces)


  • Ceramic Braces :
    These are tooth colored braces made of ceramic and is less noticeable than metal braces.

(Ceramic Braces)


  • Ceramic Hidden Braces :
    They are applied to inner side of teeth and are not visible.

  • Metal Braces :
    These are the traditional braces of stainless steel and have the same function as that of ceramic braces.

(Metal Braces)