Timings : Monday - Saturday (11AM to 7PM)* on appointment

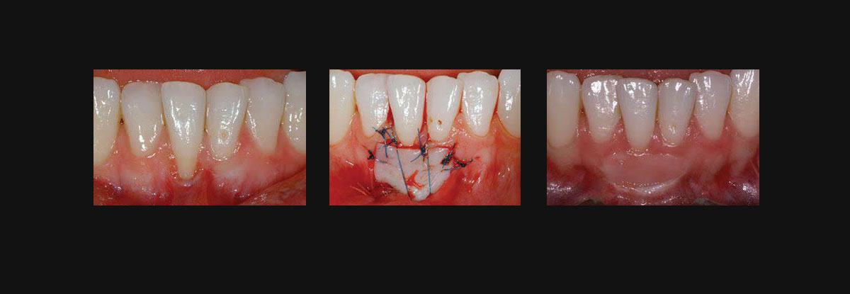
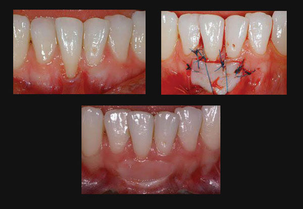
Periodontist

Periodontist Jalandhar

Branch of dentistry that deals with gums, alveolar bone, cementum and periodontal ligament.

TREATMENTS :

  • Deep scaling and polishing.
  • Gingival curettage.
  • Gum surgeries.
  • Smile enhancement surgeries.

This branch generally concerns in improving overall health of your gum and teeth.